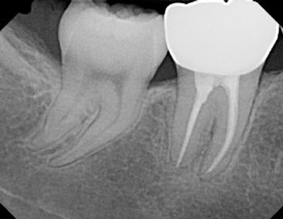
Root canal Treatment in wylie tx involves the removal of the diseased pulp along with the tooth nerve to relieve from pain and discomfort. The pulp chamber and the root canal of the tooth are cleaned, irrigated with medications and sealed with Gutta percha filling material. A dental crown is placed after finishing the root canal treatment to protect and strengthen the tooth. After the root canal treatment tooth is brittle due to lack of blood supply and nerve supply. slowly it gets fracture lines due to the forces from chewing and biting the hard stuff. To protect from breaking down Crown is needed to compensate the chewing forces.
After the crown restoration done, the tooth continues to function like a normal tooth.
Root canal treatments were done by our expert dentists from Wylie ,TX dental office in 1-3 visits depend on how severe is the infection.
My experience with Dr C is very good. I have multiple on-going dental treatments & he has handled all of them with utmost patience & detail.
He is thorough with all my treatments let it be RCT, Implants or Regular Check Up.
I will certainly be recommending Dr. C to all of my friends in the area
Nalin Jain From Google

you need ROOT CANAL TREATMENT for several reasons.
1) to Relieve from pain and discomfort.
2) to restore the damaged tooth.
3) to prevent Teeth shifting by taking the tooth out.
4) to save you from future major expenses for replacement of Tooth (By Dental Implants).
The cost of the Root canal treatment determined by our expert dentists at Wylie, TX depends on the amount of the work done, the location of the tooth and number of canals involved. It also varies with Insurance policies coverage. don't delay the treatment because of the price as it may leads to lot of issues in future.
We use cookies to analyze website traffic and optimize your website experience. By accepting our use of cookies, your data will be aggregated with all other user data.